Bronstcyclus

De zeug (gelt) wordt geboren als fokzeug. Als ze de opfokperiode van 230 dagen heeft doorlopen begint voor haar het proces van moeder worden.

Dag 1

De zeug is berig, tijd om de zeug te insemineren. (meestal wel 2 of 3 keer over een aantal dagen)

(Vanaf) Dag 22

Als een zeug drachtig is kun je vanaf de 22ste dag zien of ze drachtig is door te scannen.

Dag 108

Zeug wordt overgeplaatst naar de kraamstal.

Dag 115

Zeug zal gaan bevallen

Dag 157

Als de biggen minimaal 6 weken oud zijn wordt de zeug gespeend.(gescheiden van de biggen)

 (Vanaf) Dag 162

De zeug kan weer berig zijn en geïnsemineerd worden.

 

Insemineren

Als de zeug berig is, dan staat ze als een paal voor de beer. Zeugen worden meestal bevrucht door kunstmatige inseminatie. De beer dekt dan op een kunstzeug. Het sperma wat vrijkomt wordt opgevangen, verdund en vervolgens bij de zeug ingebracht. Het verdunnen doen ze om  van 1 dekking niet 1 zeug maar bijvoorbeeld 20 zeugen te kunnen bevruchten. De inseminatie gaat als volgt te werk:

 

- Eerst pak je de benodigde spullen bij elkaar (pipetjes, spermazakjes, gekleurde spuitbus, berenspray etc..).

- Controleren of de zeug berig is.

- Pipet inbrengen bij de zeug en er een spermazakje aanhangen.

- Laat het sperma opnemen door de zeug.

- Als het zakje leeg is kun je het eruit halen.

Ook zonder kunstmatige inseminatie kunnen varkens zorgen voor hun nageslacht. De zeugen en beren gaan dan samen in een dekstal waar de bevruchting op natuurlijke wijze plaatsvindt.

Er zijn speciale bedrijven die varkenssperma verkopen. Zij hebben de beste beren die een paar keer per week op een nepzeug dekken waarbij het sperma wordt opgevangen, verdund en vervolgens vers wordt verstuurd naar varkenshouders. Voordat je de zeug laat insemineren moet je zorgen dat ze een goede conditie heeft. Dit verhoogd namelijk de berigheid en het aantal levendgeborenen biggen. De conditie kun je bepalen door een spekdiktemeting. Het beste is om een zeug de kraamstal in te laten gaan met een spekdikte van 18 mm. Tijdens de kraamperiode mag de zeug maximaal 5 mm spek verliezen. Streef bij gelten tijdens de inseminatie naar 13 mm spek. Een gelt is een zeug die voor de eerste keer biggen krijgt. Naast de conditie van de zeug, wordt de zeug ook op de gezondheid gekeurd. 

 

Controle Bronst

Zeugen kunnen het hele jaar door bevrucht worden. Zij zijn om de drie weken berig, en dat gedurende drie dagen. Een gelt is met 7 maanden oud genoeg om voor het eerst biggen te gaan krijgen. Ze moet dan wel eerst berig worden.

Het is duidelijk te merken als een zeug berig is. Ze vertoont dan het sta-reflex. Dat betekent dat de zeug niet meer wegloopt als de beer haar wil bespringen of als een mens zijn hand op haar rug houdt. Dit kun je controleren door een beugel op de rug van de zeug te zetten. Contact met de beer bevordert de berigheid. Hoe meer hij stinkt, schuimbekt en kwijlt, hoe beter het is.

Tocht en een te lage of te hoge temperatuur is niet ideaal voor de berigheid. Wel ideaal is voldoende licht, net als goede voeding. Zo'n 42 uur na de eerste bronstverschijnselen volgt de eisprong. Het beste tijdstip voor een dekking is 12 tot 24 uur voor de eisprong. Een zeug is 3 maanden, 3 weken en 3 dagen drachtig. Dit is in totaal 115 dagen. Een zeug mag opnieuw gedekt worden, na 5 dagen dat de biggen zijn gespeend.

 

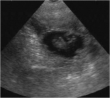
Drachtcontrole

Dracht controle vind meestal plaats met een echoscopie. Op de echo kun je de vruchtblaas van de nog ongeboren biggen zien. De echo is betrouwbaar vanaf de 19e dag na het insemineren. Vaak wordt er nog een tweede controle gedaan. Dit is om eventuele veranderingen te kunnen zien. Vaak wordt de 1e scan rond de 3e week gedaan en de 2e scan rond de 6e week.

 

 

 

Bevalling

Na ongeveer 4 maanden drachtig te zijn geweest werpt de zeug op de kraamafdeling gemiddeld 14 biggen. Biggen wegen bij de geboorte ongeveer 1,5 kilo. Ze groeien hard doordat ze volop melk kunnen drinken bij hun moeder. Op de kraamafdeling is het ongeveer 26ºC. In het kraamhok is een biggennest. Hier ligt veel zaagsel en hangt een warmtelamp. De biggen kunnen hier in lopen en lekker tegen elkaar aan kruipen. Als ze 42 dagen oud zijn, hebben ze geen moedermelk meer nodig en mogen de biggen worden de biggen gespeend. Dit houdt in dat de moeder terug gaat naar de dekstal en de biggen in het kraamhok blijven. De zeug wordt weer bevrucht zodra ze berig is. De geboorte van biggetjes geeft meestal niet zoveel problemen. Het komt soms voor dat de biggen in de baarmoeder op een hoopje zitten. Dan moet je helpen om de biggen eruit te halen. Met een handschoen voor de hygiëne en wat glijmiddel om het voor dier en mens wat soepeler te laten verlopen wordt het dier opgevoeld. Er worden dan vaak makkelijk enkele biggen uit gehaald waardoor de rest van de biggetjes er vanzelf uitkomt. Bij een oude zeug die vaak te weinig weeën heeft, kan er een beetje oxytocine bijgespoten worden. Dit is een medicijn dat ervoor zorgt dat de zeug weeën krijgt.  Dit helpt de zeug bij de verdere bevalling om de laatste biggetjes eruit te persen. Vaak helpt het ook als er al enkele biggen aan het uier van de zeug liggen te drinken, want het voeden stimuleert de oxytocine.

 

Maak jouw eigen website met JouwWeb